犬も、人間と同様に白内障が発症します。
人の場合は日帰り手術で眼内レンズを受けられ、よりクリアな世界を手に入れることができますが、ペットの場合は、老齢性の場合、「もう年だから仕方ない」で済まされることが多くみられます。
しかし、若年性の場合はそうはいきません。現在では人と同様な白内障手術が可能となっています。
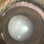
白内障は、眼の水晶体というところが、一部もしくは全部が白濁する病気です。
進行すれば視力は低下し、最後には失明する病気です。
白内障の発症の詳しいメカニズムについては分かっておりません。
病因別には、先天性に発症する「先天性白内障」、他の病因で発生する、たとえば老年性の変化、糖尿病などの代謝性の変化、外傷性、中毒性、網膜症などにより発生する「後天性白内障」に分類されます。
また、白内障は遺伝にも関係しており、アメリカン・コッカー・スパニエル、プードル、ビーグル、柴犬などに白内障が多くみられます。
臨床的には、白内障の混濁程度により「初期白内障」「未成熟白内障」「成熟白内障」「過熟白内障」に分類され、初期白内障では視力はさほど障害されませんが、未成熟白内障以上の白内障では外科的治療が必要となります。
初期白内障
未成熟白内障
人の場合は、圧倒的に老人性白内障が多いのですが、動物では必ずしも、老齢動物がなるとは限りません。
白内障手術を受けている平均年齢は5歳齢位です。
治療法には「内科療法」と「外科的療法」があります。
内科的治療法(点眼薬)は白内障の初期には進行を遅らせることができますが、視力が障害されている白内障には、一般的な白内障用の点眼薬では視力を回復させることはできません。
視力が障害された目には外科的に水晶体を摘出し、眼内レンズを挿入する手術を実施します。
白内障手術とは?
白内障は物を見るときに焦点を調節する水晶体が濁る病気です。この濁った水晶体を超音波の振動で細かく砕いて吸引した後に、眼内レンズを水晶体の代わりに挿入するのが、現在の白内障手術です。
当院では2023年9月にAlcon社製の白内障手術装置 センチュリオン®・ビジョンシステム with ACTIVE SENTRY®ハンドピースを導入しました。白内障手術時の灌流・吸引、水晶体破砕、コアギュレーションに用いる手術装置です。
センチュリオン®の最も進化した特徴は、圧倒的な破砕力とコンピューターに制御された眼内圧安定システムの搭載です。最新テクノロジーを駆使したセンチュリオン®は、手術中に変化する灌流圧を自動的・継続的にモニタリングして、眼内圧の変動を抑えることで、手術のリスクを低減し、手術の安全性・安定性・効率性の向上を実現しています。
手術中の眼内圧の変動は、手術の安全性と効率性を妨げ、手術中のリスク管理において非常に重要な課題でした。従来の白内障手術装置は、灌流液を注入するボトルを高い位置に吊るし、そのボトルを上下させることによって重力を変えて手術中の眼内圧をコントロールしていました。
センチュリオン®に新たに搭載された「Active Fluidics ™テクノロジー」は、灌流バックを本体内部に設置し、手術装置本体が検知した流体の変化に応じて、加圧減圧をすることで、灌流圧を調整して手術中の安定した眼内空間を維持することができます。
また眼灌流圧センサーが内蔵されたACTIVE SENTRY®ハンドピースが開発され、ハンドピースで眼灌流圧を測定することにより、白内障手術中リアルタイムで眼圧の変動を検知し以前より早く結果を器械本体にフィードバックし、より正確な目標眼内圧を維持する事が可能になりました。
Alcon社製の白内障手術装置 センチュリオン®・ビジョンシステム with ACTIVE SENTRY®ハンドピースはこのように優れた特徴がありますので、手術がスムーズに進行し、動物への負担もより少なくなることが予想されます。
今後ともより安全な手術を多くの動物に提供していけるように努力して参ります。
白内障が進行し生活に支障がみられたら、手術で状態を改善させてあげたいと思うのが親心です。
しかしながら、手術を希望するご家族とすべての犬が白内障手術を受けられるものではありません。
白内障手術を成功させるためには「犬の協力」「ご家族の協力・理解」が必要となります。
ご家族の協力として、次のポイントが重要となります。
白内障手術は術前、術後に頻回の点眼や内服投与などが必要なため、次のような治療に協力的でない犬は手術をすることは難しいといえるでしょう。
また、治療に対しては協力的でも、入院室で静かにしていられない犬や、術後エリザベスカラーの装着を異常に嫌がる犬は注意が必要です。
アメリカやヨーロッパでは遺伝性形質に関する研究が進んでおり、白内障でも遺伝または遺伝が強く疑われる犬種が認められています。
白内障手術を考慮する場合には、他の犬種特異性に十分注意する必要があります。
例えば、アメリカン・コッカー・スパニエルは白内障と緑内障の好発犬種に挙げられており、白内障手術後、緑内障を併発する可能性があることはよく知られた事実です。
その他、進行性網膜変性症の末期に白内障が発生することがよく知られており、白内障の手術に際しては、その犬種の眼疾患に対する品種特異性を調べておくことは重要となります。
全身状態を把握するために一般の診察と同様に「現病歴」「過去の病歴」「ワクチン接種の有無」「フィラリア予防の有無」「薬剤の投与歴」「薬剤アレルギー」等について問診をおこないます。
また、同時に完全な身体検査を実施します。
大事なことは、白内障以外に眼疾患がなく、他にも全身疾患がないことです。
これらを調べるために眼科検査としては「検眼鏡検査」「眼圧検査」「涙液量検査」「網膜電位図検査」「隅角検査」等を実施します。
全身疾患については、「血液検査」「尿検査」「レントゲン検査」「心電図」「エコー検査」「フィラリア抗原検査」等を必要に応じて実施します。
残念ながら全身疾患が認められる場合には、その治療を優先させ病状が安定するまで手術を延期する場合もあります。
お電話かHPの予約ページより予約してください。
診察では、始めに問診、身体検査をおこないます。
眼科検査(涙液検査、眼圧検査、細隙灯顕微鏡検査等)をおこない眼の状態を評価します。この時、細隙灯顕微鏡検査の画像をお見せしながら眼の状態について説明します。
白内障手術の術前検査を兼ねて血液検査、レントゲン検査、エコー検査等を実施しします。
超音波検査で眼の中の状態(水晶体の状態、網膜剥離の有無)を検査します。
網膜電位図検査で網膜の機能について検査します。
隅角検査では房水の出口、隅角の状態を検査します。
この検査は鎮静下で行い2時間くらいかかります。
これらの検査結果より白内障手術が可能かどうか総合的に判断します。
ご家族の方にも白内障手術について理解してもらい、手術前後のケアに協力してもらうことが重要となります。
ご家族と相談の上、手術予定日を決めます。
手術当日の説明:術前の点眼薬の説明、手術当日の来院時間や入院に関しての持ち物、お支払い方法等について説明します。
7.手術当日絶食絶水の状態で、お越し下さい。また、点眼薬および必要に応じて入院日数分の食事・薬をお持ち下さい。
手術3時間前より、抗炎症剤および散瞳剤の点眼をおこないます。
手術は全身麻酔下で約30分くらいで終了しますが、導入から覚醒までの時間をいれると1時間くらいになります。
入院中は抗生物質、胃薬の内服、非ステロイド剤の注射および抗生物質、非ステロイド、ステロイド点眼をおこないます。
術後炎症を機械を使用して計測し、正常値に近くなりましたら、退院となります。基本的な入院は1泊2日です。
自宅で抗生物質、胃薬および非ステロイド剤の内服、抗生物質、非ステロイドおよびステロイド点眼をおこないます。
強い痛みがでたらすぐに連絡して下さい。
全身シャンプーは退院後可能ですが、顔回りは1週間は控えて下さい。
散歩は歩く程度なら可能ですが、激しい運動は控えて下さい。
定期検査、診察は必ず受けて下さい。
退院後、1週間後の診察、2週間後の診察およびその動物の状態に合わせて定期検査、診察が必要になります。